Figura 1

 
     
  Figura 2  
     
  Figura 3  
     
  Figura 4  
     
  Figura 5  
     
  Figura 6  
     
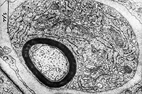
  Figura 7  
     
  Figura 8  
     
 

Células de Schwann

     
 

Las células de Schawnn se originan de la cresta neural y acompañan a los axones durante su crecimiento, formando la vaina que cubre a todos los axones del SNP desde su segmento inicial hasta sus terminaciones. Ellas son indispensables para la integridad estructural y funcional del axón.

Fibras nerviosas amielínicas: cuando el axón asociado a la célula de Schwann es de pequeño diámetro se aloja en una concavidad de la superficie de la célula de Schawnn, rodeado por espacio intercelular y conectado hacia el exterior mediante el mesaxón. Varios axones pueden estar alojados de esta forma en la misma célula (Fig 1).

Fibras nerviosas mielínicas: Los axones de mayor diámetro inducen el proceso de formación de la mielina por la célula de Schwann (Fig 2) En las fibras mielínicas cada célula de Schawnn rodea a solo un axón y su vaina de mielina se ubicada vecina al axón con el resto de su citoplasma en la zona externa. Por fuera, la célula de Schawnn se asocia mediante su lámina basal que al endoneuro.

El largo de cada célula de Schawnn varía entre 200 -2000 um. Entre las sucesivas células de Schwann existen zonas sin mielina llamadas los nodos de Ranvier. (Fig 3).

La mielina está compuesta por capas de membrana de la célula de Schwann las cuales se disponen así durante el proceso de mielinización , el cual comienza con la invaginación de un axón superficie de la célula de Schwann, de manera que el axolema se adosa estrechamente a la membrana plasmática de la célula de Schwann por una parte, y las membranas de la célula de Schwann que se enfrentan en el mesaxón (Fig 4). Se produce luego un crecimiento en espiral del citoplasma de la célula de Schwann que se traduce en un crecimiento del mesaxón en forma tal que se enfrentan las membranas plasmáticas de la célula de Schwann por sus caras extracelulares y por sus caras intracelulares (Fig 5) Al fusionare las caras extracelulares se genera la llamada línea interperiodica (línea densa menor) y al desplazarse el citoplasma y fusionarse las caras intracelulares de las membranas se originan las líneas periódicas ( líneas densas mayores) (Figs 6 y 7)

El citoplasma de la célula de Schwann permanece (Fig 8):

  • junto al axón;
  • junto a la superficie externa de la célula
  • entre las lamelas internodales de la mielina: en las cisuras de Scmidt-Lantermann
  • a nivel de los nodos de Ranvier, el citoplasma en los extremos celulares de cada vuelta de mielina permanece y no ocurre la fusión de las membranas plasmáticas. La lengueta más externa de la célula de Schwann y su lámina basal cubren al axón en esta zona.