Figura 1  
     
  Figura 2  
     
  Figura 3  
     
  Figura 4  
     
  Figura 5  
     
  Figura 6  
     
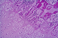
  Figura 7  
     
  Figura 8  
     
 

Crecimiento en longitud

     
 

Ocurre a expensas del cartílago de la placa epifisaria (Fig.1) el cual por prolifera aumentando su longitud por crecimiento intesticial y luego se modifica y es reemplazada por hueso de acuerdo a los pasos del proceso de osificación endocondral (Fig.2).

En la (Fig. 3) se muestran los cambios que experimenta el tejido cartilaginoso durante este proceso. El cartílago hialino normal que se observa en la zona de reposo experimenta luego (bajo en control de la hormona somatotropa) un proceso de multiplicación celular, formando columnas paralelas de células apladas en el sentido longitudinal del hueso, tal como se observa en la zona de cartílago seriado.

Posteriormente los condrocitos aumentan notablemente su tamaño, acumulando glicógeno y grasa y produciendo colágeno X y fosfatasa alcalina. La matriz cartilaginosa queda reducida a tabiques delgados, tal como se observa en la zona de cartílago hipertrófico (Fig. 4) y posteriormente ocurre la calcificación de la matriz cartilaginosa (Fig. 5), debida a la alteración en su composición por la presencia del colágeno X y de fosfatsa alcalina.

Luego ocurre la muerte de los condrocitos hipetrofiados, aislados en la matriz calcificada. La matriz calcificada es penetrada por vasos sanguíneos que provienen desde el canal medular y que se acompañan de osteoblastos los cuals se adosan a la supeficie de la matriz cartilaginosa calcificada y sintetizan y secretan la matrís ósea orgánica (osteoide). Los osteoclastos que también acompañan a los vasos sanguineos remueven parte de los tabiques de matriz cartilaginosa calcificada formando grandes cavidades delimitadas por espículas de matriz cartilaginosa que permanecen unidas al cartílago hepifisario y que están recubiertas por tejido óseo primario (Fig. 6) el cual se hace cada vez más grueso al continuar siendo depositado por los osteoblastos (Fig. 7).

En la Figura 8 se ilustra como este proceso permite alargar la diáfisis del hueso por desplazamiento de la epífisis. Las espículas ósea con base cartilaginosa pueden fusionarse con el hueso cortical y posteriormente experimentar remodelación ósea interna, formándose sistemas de Havers.